找回密码
 注册

微信登录,快人一步

QQ登录

只需一步,快速开始

楼主: gjs661

紧急求助——82岁老岳父发热1个月(第87楼有更新)

 火... [复制链接]
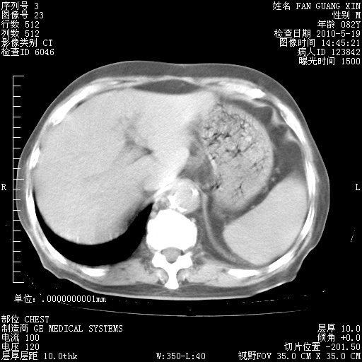
 楼主| 发表于 2010-5-19 19:03 | 显示全部楼层
治疗3周后的肺部CT纵隔窗

Image26.JPG

Image21.JPG

Image22.JPG

Image23.JPG

Image24.JPG

Image25.JPG
回复

使用道具 举报

 楼主| 发表于 2010-5-19 19:23 | 显示全部楼层
回复 135# gjs661

还需要哪些辅助检查?我们医院排除真菌感染没有任何检验方法,胸片好像能够排除肺部真菌感染。

补充:ENA化验全部阴性。免疫五项(IgG、IgA、IgM、C3、C4)只有C4略高。
      CD3+ T细胞/淋巴细胞           46% (参考值50.00~84.00%)
    CD3+CD4+ T细胞/淋巴细胞     21%  (参考值27.00~51.00%)
    CD3+CD8+ T细胞/淋巴细胞     25%   (参考值15.00~44.00%)
    CD3+CD4+ T细胞/CD3+CD8+ T细胞  0.84   (参考值0.71~2.78)
T细胞亚群是治疗5天采血。

   明天复查血常规、血生化?
回复

使用道具 举报

发表于 2010-5-19 21:51 | 显示全部楼层
从胸部影像学来看,的确有好转。至于目前为何发热不甚清楚?除了发热还有其他症状如有无喀痰,痰呈丝状吗?等等。尽量搜寻有无致发热其它可能原因?真菌?其它?如果的确无其他致发热的原因,考虑将甲强龙调至60-80mg bid/日。免疫全套基本无异常,考虑多系特发性肺间质纤维化
一点建议,关注中。。。
回复

使用道具 举报

 楼主| 发表于 2010-5-21 22:25 | 显示全部楼层
回复 143# 桃子妖妖

昨天7点左右37.2度,静脉滴甲强龙80mg。
今天7点开始体温升高,8:17体温38.3度。甲强龙80mg  q12h。

CRP40.89mg/L,白细胞中性比例88.1%。 现在看来必须恢复甲强龙80mg  q12h。但是如何确定有无并发细菌、真菌感染?抗菌药物?
回复

使用道具 举报

发表于 2010-5-22 10:19 | 显示全部楼层
回复 144# gjs661

至于如何确定是否细菌、真菌感染依据:除了发热(真菌感染一般是中度发热),有无咳嗽、咳痰(量、性状,颜色等有无变化;真菌感染痰的性状一般呈丝状);有无其他系统的临床表现,肺部有无体征(除Vecro罗音外)。总之需要综合做出判断。
个人认为:若甲强龙已用至80mg  q12h/d,可根据体温情况、有无合并感染,再决定是否加用抗菌药物。
回复

使用道具 举报

 楼主| 发表于 2010-5-28 18:43 | 显示全部楼层
回复 145# 桃子妖妖

谢谢您一直惦记着。
自21日开始甲强龙80mg q12h,体温还能维持正常。但是在22日开窗通风时受凉,说话有鼻音。甲强龙一直没有减量,抗菌药物也没有用。只口服新复方大青叶片。偶尔咳嗦,没有痰。
25日晚最高温度37.5度
26日8点37.4度
27日10点37.8度
28日8:40   37.6度,18:25  38.3度。
目前的问题是合并上呼吸道感染?肺部感染?细菌?真菌?怎样确诊?
打算明天查血常规、血沉、大生化、CRP,是否需要肺部CT?
治疗甲强龙如何减量?抗菌药物是否需要?

没想到今年治疗远没有去年顺利!
回复

使用道具 举报

发表于 2010-5-28 22:53 | 显示全部楼层
回复 146# gjs661
不知肺部体征如何?可复查血常规,可考虑复查肺部CT。目前体温尚不稳定,鉴于目前情况甲强龙暂不减量。根据症状、体征、血常规及影像学等酌情使用抗菌药物,真菌感染需警惕。关注中。。。
回复

使用道具 举报

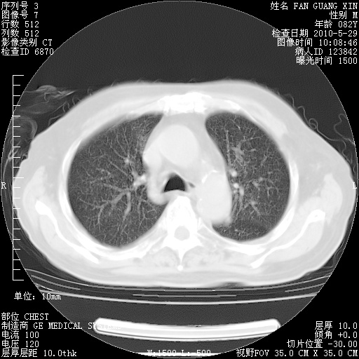
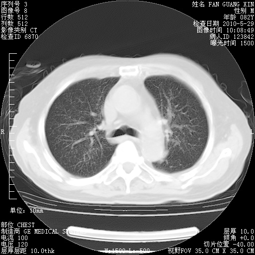
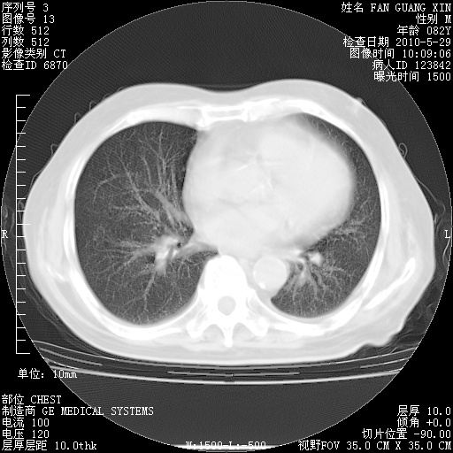
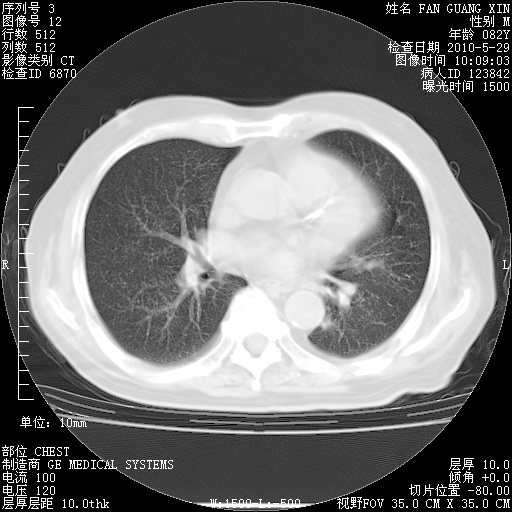
 楼主| 发表于 2010-5-29 14:20 | 显示全部楼层
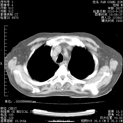
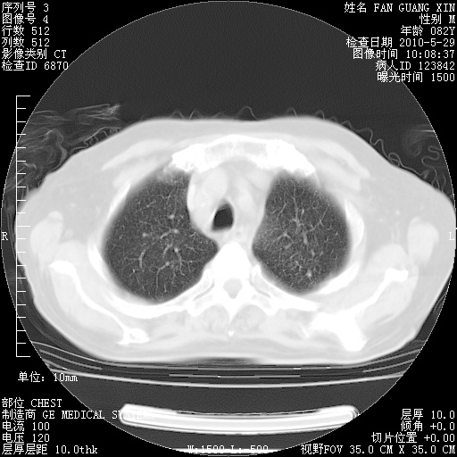
再治疗10天后的肺部CT

肺窗 (1).JPG

肺窗 (2).JPG

肺窗 (3).JPG

肺窗 (4).JPG

肺窗 (5).JPG

肺窗 (6).JPG

肺窗 (7).JPG

肺窗 (8).JPG

肺窗 (9).JPG

肺窗 (10).JPG
回复

使用道具 举报

 楼主| 发表于 2010-5-29 14:22 | 显示全部楼层
再治疗10天后的肺部CT

肺窗 (1).JPG

肺窗 (2).JPG

肺窗 (3).JPG

肺窗 (4).JPG

肺窗 (5).JPG

肺窗 (6).JPG

肺窗 (7).JPG

肺窗 (8).JPG

肺窗 (9).JPG

肺窗 (10).JPG

肺窗 (11).JPG

肺窗 (12).JPG

肺窗 (13).JPG

肺窗 (14).JPG

肺窗 (15).JPG

肺窗 (16).JPG

肺窗 (17).JPG

肺窗 (18).JPG

肺窗 (19).JPG

肺窗 (20).JPG

肺窗 (21).JPG

肺窗 (22).JPG

肺窗 (23).JPG
回复

使用道具 举报

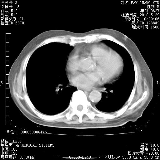
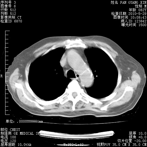
 楼主| 发表于 2010-5-29 14:24 | 显示全部楼层
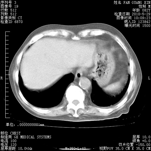
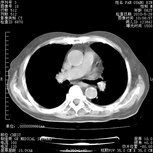
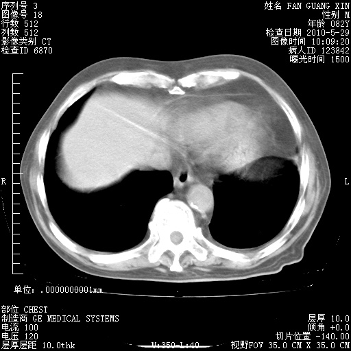
再治疗10天后的肺部CT 纵膈窗

纵膈窗 (1).JPG

纵膈窗 (2).JPG

纵膈窗 (3).JPG

纵膈窗 (4).JPG

纵膈窗 (5).JPG

纵膈窗 (6).JPG

纵膈窗 (7).JPG

纵膈窗 (8).JPG

纵膈窗 (9).JPG

纵膈窗 (10).JPG

纵膈窗 (11).JPG

纵膈窗 (12).JPG
回复

使用道具 举报

 楼主| 发表于 2010-5-29 14:25 | 显示全部楼层
再治疗10天后的肺部CT 纵膈窗

纵膈窗 (13).JPG

纵膈窗 (14).JPG

纵膈窗 (15).JPG

纵膈窗 (16).JPG

纵膈窗 (17).JPG

纵膈窗 (18).JPG

纵膈窗 (19).JPG

纵膈窗 (20).JPG

纵膈窗 (21).JPG

纵膈窗 (22).JPG

纵膈窗 (23).JPG
回复

使用道具 举报

 楼主| 发表于 2010-5-29 14:41 | 显示全部楼层
回复 147# 桃子妖妖

肺部体征:呼吸25次/分,心率100次/分,呼吸音增粗。无干湿罗音。

血常规:15.36×10 [sup]9[/sup]/L  N0.92  L0.036  M0.045 ESR 27mm/h。

血生化:白蛋白33.30g/L  球蛋白23.67g/L  CRP 32.82mg/L 肝肾功能正常。电解质正常。

从白细胞总数和中性比例看好像合并感染。肺部纹理好像比上次多,支气管炎?其他感染?

加用抗菌药物左氧氟沙星+哌拉西林他唑巴坦?前几年我们医院头孢哌酮舒巴坦钠应用较滥,感觉疗效不如哌拉西林他唑巴坦。
回复

使用道具 举报

发表于 2010-5-29 23:51 | 显示全部楼层
阅读此次胸部CT,肺间质渗出性改变较入院时有吸收。目前从体温、白细胞、中性分叶明显增高,肯定存在细菌感染(发生医院感染哦,若无消化道及泌尿系统等感染的依据,肺部感染可能大)。若你院头孢哌酮舒巴坦钠耐药率较高,同意你的方案,若48小时体温仍高,可考虑使用碳青霉稀类抗菌药物,同时可予超声雾化、注意滴数时加大液体量。白蛋白33.30g/L较低哦,需加强营养等支持治疗。
回复

使用道具 举报

 楼主| 发表于 2010-6-2 09:17 | 显示全部楼层
回复 153# 桃子妖妖

没有消化道、泌尿道感染症状。
自29日加用哌拉西林他唑巴坦+左氧氟沙星治疗,29日晚37.3度,30日37.4度。到现在体温正常,看来抗感染治疗有效。
现在甲强龙80mg  q12h 已经是第13天了,是否减成60mg  q12h ?
回复

使用道具 举报

发表于 2010-6-2 11:58 | 显示全部楼层
回复 154# gjs661
体温才正常,等体温稳定4-5天后再将甲强龙减至60mg  q12h
回复

使用道具 举报

 楼主| 发表于 2010-6-9 17:13 | 显示全部楼层
回复 155# 桃子妖妖

自6月5日改为甲强龙60mg  bid 。体温正常,但是食欲下降。
近3天有痰,留取2次痰培养,涂片白细胞大于100/HP,少量白念真菌孢子菌丝,培养少量大肠埃希氏菌(产ESBL+ )哌拉西林钠他唑巴坦敏感。
但昨天的痰涂片抗酸染色阳性。

继续留痰涂片和培养。肺部CT5月29日最后一次,今天第11天是否需要复查?


是否近期甲强龙量大激活体内结核病灶?今天开始抗结核治疗。抗结核的方案异烟肼+利福平+乙胺丁醇?是否敢用吡嗪酰胺?
回复

使用道具 举报

发表于 2010-6-11 09:47 | 显示全部楼层
近来我院在做感控宣传周,的确太忙了。自从前天通电话后,不知您父亲病情怎样了?年老,较长期使用大量激素,有可能致结核活跃。既然抗痨治疗已上,继续9-12HLE,如您院有利福喷丁,可使用之,停用利福平。吡嗪酰胺对肝功损害太大,尤其对老年人,尽量不用。目前可联用左氧氟沙星。
另外,因在抗痨治疗体温已正常,也无其它表现,仅痰涂片抗酸染色阳性,需注意假阳性可能。可予SR、PPD及ADA检查。痰培养见白念真菌孢子菌丝,结合目前体温、痰性质等,多系定植可能,但需警惕。痰培养产ESBL大肠埃希氏菌,结合前段时间体温,症状及白细胞、中性等,哌拉西林钠他唑巴坦治疗反应效果较好,致病菌可能性大。注意痰培养,随访肝、肾功及血常规。
回复

使用道具 举报

 楼主| 发表于 2010-6-11 22:32 | 显示全部楼层
回复 157# 桃子妖妖

连续三次痰涂片抗酸染色阳性!目前采取左氧氟沙星+异烟肼+利福喷丁+乙胺丁醇治疗。
昨天开始甲强龙减为80mg qd。体温尚待观察。
市胸科医院和各县区胸科医院都没有做PPD实验的药。“SR、ADA检查”是啥东东?
考虑菌量很少停用哌拉西林他唑巴坦了。

谢谢啊!
回复

使用道具 举报

发表于 2010-6-11 22:43 | 显示全部楼层
回复 158# gjs661
同意目前治疗。血沉=SR,可作为判断结核是否活跃或抗痨治疗反应的判断;腺苷脱苷酶=ADA,非结核特异性检查,仅作为参考。
回复

使用道具 举报

 楼主| 发表于 2010-6-11 22:56 | 显示全部楼层
回复 159# 桃子妖妖

只知道ESR,不知SR 。想起来了ADA对鉴别结核性胸膜炎、腹膜炎、脑膜炎有用,但是血ADA的意义不了解,我们医院不做,我得看看把血送到其他地方。
回复

使用道具 举报

您需要登录后才可以回帖 登录 | 注册 |

本版积分规则

关闭

站长推荐上一条 /1 下一条

快速回复 返回顶部 返回列表